精雕细琢除顽疾,永兴县人民医院成功实施高难度颈动脉三角区肿瘤切除术
新永兴 • 要闻
2025-08-28 15:25:32

湖南日报·新湖南客户端8月28日讯(通讯员 邓加建  邓燕芳)近日,永兴县人民医院耳鼻咽喉头颈外科团队成功为一名颈动脉三角区巨大肿瘤患者实施了肿瘤切除术。该手术精准拆除了包裹在颈动脉、迷走神经等重要结构上的“炸弹”,标志着该院在头颈部复杂肿瘤的诊疗技术上达到新高度。

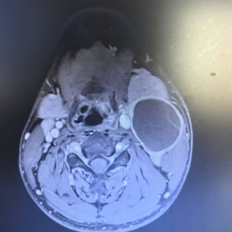
患者曹某,17岁,因发现颈部左侧无痛性肿块10余天,且近期感觉吞咽不适与声音嘶哑前来就诊。经检查,发现其左侧颈动脉有一大小约5.5×3.8cm的囊性占位性病变。影像学显示,肿瘤位置极深,与颈内动脉、颈外动脉关系密切,与迷走神经、舌下神经等重要结构粘连严重,手术难度和风险极大。

面对挑战,耳鼻咽喉头颈外科团队进行了周密的术前准备。利用三维重建技术精准还原了肿瘤与周边血管、神经的立体关系,并制定了详尽的手术预案及应急措施。

历经3个多小时的紧张操作,肿瘤被完整切除,所有重要血管及神经均完好无损,术中出血极少。术后患者安返病房,生命体征平稳。经后续治疗与护理,患者恢复良好,声音嘶哑症状较前明显改善,未出现任何神经功能障碍及并发症。

县人民医院耳鼻咽喉头颈外科主任李贤权:“颈动脉三角区解剖结构复杂,是颈动脉、多项颅神经、颈深淋巴结等关键结构的‘交通要道’。此区域的肿瘤手术,犹如在‘悬崖边上跳舞’,要求术者不仅要有精湛的技艺,更要有极大的耐心和丰富的解剖知识。本次手术的成功,得益于术前精准的影像评估、术中精细的显微操作和麻醉团队的通力协作,是多学科协作(MDT)模式的又一成功典范。”

责编:王江林

一审:王江林

二审:曹向阳

三审:楚娟

来源:永兴县融媒体中心

专题永兴县人民医院特别专栏

版权作品,未经授权严禁转载。经授权后,转载须注明来源、原标题、著作者名,不得变更核心内容。