会呼吸的痛,不一定是因为想念
湖南教育发布 • 头条新闻
2023-05-30 15:39:25

“想念是会呼吸的痛,它活在我身上所有角落……”哼着小曲的战士小马正欢快地跑步。突然,他感到一阵胸痛、憋闷,慢慢停了下来。战友们见他蹲在地上,面色苍白、呼吸费力、咳嗽不止,立马送到武警湖南总队医院急诊。

这下小马真体验到了什么是会呼吸的痛,只不过不是因为想念。

训练照

气胸也是会呼吸的痛

 原来,这已不是小马第一次出现胸痛了!1个多月前,小马感染新冠病毒“阳康”后又感染了甲流。从这之后,小马运动时就会偶尔出现了胸痛不适,但休息之后就好了。小马以为只是身体还未适应而已,并未太在意。

小马的肺部ct

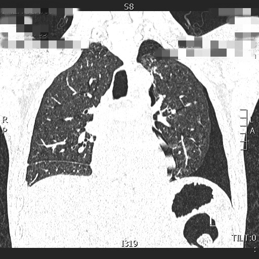
完善胸部CT后,小马确诊为“自发性气胸”,气胸量较大,考虑可能为呼吸道病毒感染后发生肺部病变,剧烈运动诱发了自发性气胸。收住院进行治疗5天后复查胸片,气胸已基本吸收,小马转危为安。

小马的肺部ct

什么是气胸?

胸廓把肺脏包围、保护起来,肺脏的表面与胸廓的内壁之间,存在一个潜在性的腔隙,就是所谓的胸膜腔。

胸膜腔正常情况下是没有气体的,只要胸膜腔里有了气体,不管什么原因,医学上就称作气胸。通俗地说,肺就好比是气球,气球破了,便漏气了!

自发性气胸

气胸是常见急症,发病率高 , 男性多于女性,分为外伤性、医源性和自发性三种类型。在战场上或者灾害事故中容易出现外伤性气胸,医源性气胸是由诊治过程中的一些医疗操作导致,而自发性气胸常见于健康人或者有基础疾病的病人,包括原发性和继发性。

原发性气胸多见于瘦高体型的健康男性青壮年。常规X线检查肺部并无显著病变,有时可有胸膜下肺大泡,多在肺尖部。此种胸膜下肺大泡的病因尚不明确,可能与身高、吸烟和小气道炎症有关,也可能与非特异性炎症疤痕或弹性纤维先天性发育不良有关。

继发性气胸发病原因是在其它肺部疾病的基础上,形成的肺大泡破裂导致。最常见为慢性阻塞性肺疾病、慢性肺结核、弥漫性肺间质纤维化等。

相较于外伤性及医源性气胸,非战时部队里年轻健康的战友发生自发性气胸的概率可能更大,所以更应受到重视。

自发性气胸的诱因

国内外大量研究表明,吸烟、吸食大麻与自发性气胸密切相关。另外,吸烟是心血管疾病的独立危险因素,也是肺癌的最主要原因,所以,为了自身健康,有吸烟习惯的战友还是戒烟吧。

 具体诱因:剧烈咳嗽、喷嚏、屏气或者大笑、打球、用力抬举重物、情绪激动、用力排便、剧烈运动、抽烟等。 

主要临床表现

1.胸痛:常为首发症状,多为诱发,如持重物、屏气、剧烈运动等,突发刀割样或针刺样疼痛。

2.呼吸困难:为典型症状,程度与积气量的多少以及原来肺部疾病范围有关。

3.刺激性干咳:气体刺激胸腔导致咳嗽。

如何治疗

1. 一般治疗。气胸患者应当绝对卧床,给予吸氧,减少肺部活动,促进肺部复张以及气体吸收。此方法适用于首次发病的患者,且患肺萎陷小于20%,无呼吸困难患者。

2. 胸腔闭式引流。排出胸膜腔内的气体,缓解胸闷、气急症状,待破裂的肺大泡自行愈合。此方法适用于肺压缩严重、呼吸困难显著患者。3. 胸腔镜下肺大泡切除。随着现在手术技术的进步,胸腔镜下肺大泡切除术已普遍开展,安全性非常高,创伤性很小,恢复特别快。

预防及注意事项

1.避免呼吸道感染。呼吸道感染后出现持续咳嗽等症状,而剧烈咳嗽后出现气短、胸痛及呼吸困难,以及瘦高体型的青少年在运动或用力过猛后出现以上症状,要警惕自发性气胸的可能,及时就诊,以免耽误治疗,尤其部队里身形瘦长的年轻战士不少,集体生活又很容易流行呼吸道传染病。

2.避免气胸诱发因素(抬举重物、剧烈咳嗽、用力排便、情绪激动、吸烟等)。

3.饮食清淡,少吃高脂、高糖、辛辣等食物,多吃水果蔬菜,保持大便通畅。

4.保持心情愉悦,注意劳逸结合,保证充足睡眠。

5.气胸复发处理,一旦感到胸闷,气急等症状,可能为气胸复发,请及时就诊。

责编:王希

来源:湖南武警微信公众号